آیا درباره ایمپلنت دندان اطلاعاتی دارید؟ امروزه از ایمپلنت دندان برای پر کردن جای خالی دندان های از دست رفته استفاده می شود.
به گزارش بازرگانی خبرگزاری مهر، یکی از راهکارهای مناسب برای برگرداندن لبخند زیبا، کاشت ایمپلنت دندان است. ایمپلنت یک جایگزین عالی و استاندارد برای جبران دندان از دست رفته است. بسیاری از افراد به دلایل گوناگون مانند افزایش سن، کشیدن دندان، تصادفات، ضربههای وارد شده به دهان و دندان و … دندان خود را از دست میدهند. از دست رفتن دندانهای طبیعی علاوه بر ایجاد مشکل در زیبایی چهره و طرح لبخند، موجب بروز مشکلاتی در عملکرد سیستم گوارشی میگردد.
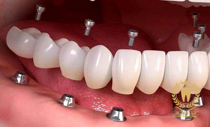
ایمپلنت دندان
برای گذاشتن ایمپلنت دندان نیاز به انجام عمل جراحی است. ایمپلنت یک میله کوچک به شکل پیچ است که در زمان جراحی در داخل استخوان فک قرار داده میشود. این میله کوچک به استخوان فک جوش میخورد تا بتواند تاج مصنوعی دندان را نگه دارد. به جوش خوردن استخوان فک به پایه ایمپلنت، یکپارچگی استخوان هم گفته میشود.
پایه ایمپلنت دندان مانند ریشه دندان عمل کرده و روکش دندان بر روی آن جای میگیرد. انجام این روش برای پیشگیری از تحلیل رفتن استخوان و لثه مناسب است. این روش درمانی دارای استحکام و طول عمر بالایی است. همچنین ایمپلنت شباهت زیادی با دندان طبیعی داشته، به همین دلیل مورد استقبال زیادی قرار گرفته است.
مراحل انجام ایمپلنت دندان شامل موارد زیر است:
بررسی وضعیت دهان و دندان فرد و مشخص کردن نوع و تعداد ایمپلنت
کشیدن دندان آسیب دیده در صورت لزوم
پیوند استخوان فک در صورت لزوم
کاشت پایه ایمپلنت
ترمیم استخوان
انتخاب رنگ و تهیه قالب مخصوص و ارسال به لابراتوار
نصب ایمپلنت
قسمتهای تشکیل دهنده ی ایمپلنت دندان
ایمپلنت دندان شباهت ساختاری زیادی با دندان طبیعی دارد. پایه ایمپلنت در داخل استخوان قرار گرفته و به کمک اباتمنت به روکش ایمپلنت متصل میگردد.
روکش ایمپلنت
اباتمنت
پایه ایمپلنت یا فیکسچر
چه کسانی میتوانند ایمپلنت دندان انجام دهند؟
تمام افراد اعم از خانمها و آقایان بالای ۱۶ سال که به سلامتی و زیبایی خود اهمیت میدهند، میتوانند از روش ایمپلنت دندان استفاده کنند. برای انجام ایمپلنت فرد باید از سلامت جسمانی و دهان و دندان برخوردار باشد. تمام افرادی که بهداشت دهان و دندان خود را به خوبی رعایت میکنند، میتوانند برای جبران دندان از دست رفته خود از این روش استفاده کتنند. علاوه بر این تمام افراد زیر میتوانند از ایمپلنت استفاده کنند:
افرادی که تمام دندانهای فک جلو و عقب خود را از دست داده اند.
اگر فردی یکی از دندانهای فک جلویی خود را از دست داده و فاصله بین دندان از دست رفته با دندانهای کناری طبیعی باشد، میتواند از ایمپلنت دندان استفاده کند.
افرادی که قادر به استفاده از دندانهای مصنوعی نیستند.
افرادی که از لحاظ گفتاری با مشکل مواجه هستند.
چه کسانی نمیتوانند از ایمپلنت استفاده کنند؟
افراد زیر نمیتوانند از ایمپلنت دندان استفاده کنند و باید قبل از انجام این روش مشکل خود را برطرف کنند.
مبتلایان به عفونت دندان و فک
افراد مبتلا به دیابت کنترل نشده
افرادی که اعتیاد به مصرف دخانیات مانند سیگار دارند.
افرادی که از داروهای خاص استفاده میکنند، باید قبل از ایمپلنت با دندانپزشک مشورت کنند.
کسانی که از داروهایی مانند آسپرین استفاده میکنند، باید حدود یک هفته قبل از ایمپلنت مصرف دارو را قطع کنند.
خانمهای باردار
افرادی که رادیوتراپی به ویژه در ناحیه صورت و فک انجام داده اند.
افرادی که برای مدت طولانی از بیس فسفونات استفاده کرده اند.
ارتودنسی دندان
در برخی موارد فرد دندان خود را از دست داده و میخواهد علاوه بر کاشت ایمپلنت دندان، از ارتودنسی دندان هم استفاده کند. در این گونه موارد دندانپزشک ابتدا ارتودنسی دندان و ترمیم دندان را انجام داده و سپس کاشت ایمپلنت را انجام میدهد.
امکان جابجایی ایمپلنت وجود ندارد به همین دلیل باید اقدامات ارتودنسی و ترمیم دندان قبل از انجام کاشت ایمپلنت انجام شود. علاوه بر این با انجام ارتودنسی فضای مورد نیاز برای کاشت ایمپلنت ایجاد میشود.

ارتودنسی و ترمیم دندان
مزایای استفاده از ایمپلنت
ایمپلنت دندان یک روش مناسب برای جبران دندان از دست رفته است. از مزایای این روش درمانی میتوان به موارد زیر اشاره کرد:
طراحی لبخند زیبا و جذاب
افزایش اعتماد به نفس
دارای طول عمر زیاد در صورت محافظت و مراقبت صحیح از ایمپلنت
استحکام بالا به دلیل جوش خوردن به استخوان فک
ثابت بودن ایمپلنت
محافظت از باقیمانده ی دندانها در مقابل فشار و آسیب
مورد قبول بودن مراقبتهای بهداشتی دهان و دندان برای ایمپلنت مانند مسواک زدن و نخ دندان کشیدن
عملکرد مشابه دندانهای طبیعی
بدون ایجاد صدای مزاحم و آزاردهنده در زمان صحبت کردن و یا جویدن غذا
جلوگیری از تحلیل رفتن استخوان فک و لثه
معایب استفاده از ایمپلنت دندان
انجام ایمپلنت دندان در یک کلینیک دندانپزشکی معتبر توسط یک متخصص دندانپزشکی از بروز مشکلات زیادی جلوگیری میکند.
احتمال بروز عفونت، التهاب و احساس درد بعد از جراحی
هزینه بالا
در برخی موارد استخوان فک برای کاشت پایه ایمپلنت مناسب نیست و باید از روش پیوند استخوان استفاده شود.
امکان آسیب به دندانهای دیگر
برزو آسیب عصبی که باعث بروز بی حسی، درد، سوزن سوزن شدن لثهها، چانه و لبهای فرد میشود.
مراقبتهای بعد از ایمپلنت
برای استفاده طولانی مدت از ایمپلنت دندان باید علاوه بر مراجعه به یک متخصص دندانپزشکی باتجربه و ماهر، مراقبتهای زیر را به دقت انجام دهید:
اجتناب از مسواک زدن برای مدت یک روز بعد از انجام ایمپلنت
خودداری از شستشوی دهان برای مدت ۸ ساعت بعد از انجام ایمپلنت
پرهیز از نوشیدن چای، قهوه و کشیدن سیگار برای مدت ۳ روز بعد از انجام ایمپلنت
عدم استفاده از مشروبات الکلی و مصرف مواد مخدر
استفاده از نخ دندان و خمیردندان خاص ایمپلنت
ممنوعیت نوشیدن مایعات با نی برای مدت ۲ هفته بعد از انجام ایمپلنت
اجتناب از مصرف غذاها و نوشیدنیهای گرم
کلام آخر
هزینه ایمپلنت دندان بستگی به شرایط دندانها و سلامت عمومی فرد دارد. برای گرفتن بهترین نتیجه از کاشت ایمپلنت به کلینیک دندانپزشکی ماکان مراجعه کنید. برای کسب اطلاعات بیشتر درباره ایمپلنت دندان به آدرس اینترنتی زیر مراجعه کنید.

این مطلب، یک خبر آگهی بوده و خبرگزاری مهر در محتوای آن هیچ نظری ندارد.
منبع: خبرگزاری مهر